01-05-2025
THIS IS AN ONLINE E LOG BOOK TO DISCUSS OUR PATIENT'S DE-IDENTIFIED HEALTH DATA SHARED AFTER TAKING HER SIGNED INFORMED CONSENT. HERE WE DISCUSS OUR PATIENT'S PROBLEMS THROUGH SERIES OF INPUTS FROM AVAILABLE GLOBAL ONLINE COMMUNITY EXPERTS WITH AN AIM TO SOLVE THOSE PATIENT'S CLINICAL PROBLEMS WITH COLLECTIVE CURRENT BEST EVIDENCE BASED INPUTS.
EMR SUMMARY
MARCH 2025
Age/Gender: 65 Years/Female
Address:
Discharge Type: Relieved
Admission Date: 03/03/2025 12:11 PM
Diagnosis
DECOMPENSATED CHRONIC LIVER DISEASE SECONDARY TO ? NAFLD WITH OESOPHAGEAL VARICES WITH PHGD
GRADE I - II HEPATIC ENCEPHALOPATHY
S/P LAP CHOLECYSTECTOMY 1.5 YEARS AGO K/C/O TYPE II DIABETES MELLITUS SINCE 10YEARS K/C/O HYPOTHYROIDISM SINCE 30YEARS
Case History and Clinical Findings C/O FORGETFULNESS SINCE 1WEEK C/O LOSS OF WEIGHT SINCE 3MONTHS C/O B/L PEDAL EDEMA SINCE 1YEAR
C/O LETHARGY WITH DROWSINESS SINCE 1MONTH HOPI:
PATIENT WAS APPARENTLY NORMAL 1YEAR AGO , THEN SHE DEVELOPED BILATERAL PEDAL EDEMA , INSIDIOUS IN ONSET , GRADUALLY PROGRESSIVE , AGGRAVATED ON EXERTION AND WALKING, RELIEVED AT REST , C/O LOSS OF WEIGHT SINCE 3MONTHS , (ABOUT 8 - 10KGS ) IN 3MONTHS . C/O LETHARGY WITH DROWSINESS SINCE 1MONTH , INSIDIOUS IN ONSET , GRADUALLY PROGRESSIVE
H/O PRURITIS SINCE 2MONTHS ASSOCIATED WITH DARKISH DISCOLORATION OF SKIN
H/O HAIR LOSS SINCE 1YEAR H/O ABDOMINAL DISTENTION +
H/O HEADACHE, FRONTAL SIDE, NO ORBITAL PAIN H/O LOSS OF APPETITE +
NO H/O FEVER ,COUGH,COLD , NAUSEA,VOMTING NO H/O ,GIDDINESS,BLURRING OF VISION
NO H/O DECRESED URINE OUTPUT ,PEDAL OEDEMA
PAST HISTORY :
K/C/O HYPOTHYROIDISM SINCE 3YEARS ON TAB.THYRONORM 100MCG OD K/C/O DM TYPE II SINCE 10 YEARS (ON TAB. METAFORMIN 500MG PO/OD) H/O LAPAROSCOPIC CHOLECYSTECTOMY ON 27/10/23
N/K/C/O HTN, TB, ASTHMA, EPILEPSY, CVA, CAD
FAMILY HISTORY : NOT SIGNIFICANT. PERSONAL HISTORY
LOSS OF APPETITE
BOWEL AND BLADDER INCONTINENCE+ GENERAL EXAMINATION :
PATIENT IS DROWSY PALLOR+
ICTERUS + CLUBBING + PARROT BEAK APPEARANCE PEDAL EDEMA + GRADE II
NO CYANOSIS, LYMPHEDENOPATHY, TEMP-98.2F
BP: 120/80 MMHG PR: 84 BPM
RR: 18 CPM
SPO2: 98% GRBS:202MG/DL SYSTEMIC EXAMINATION:
CVS- SI, S2 HEARD, NO THRILLS, NO MURMURS RS- BAE +
ABDOMEN-DISTENDED, SOFT, NT, LIVER PALPABLE CNS: PATIENT IS DROWSY,
GCS: E4V5M6
OPTHAL REFERRAL WS DONE ON 5/3/25
IMPRESSION WAS: USE SPECTACLES FOR CORRECTION OF REFEACTORY ERROR NO KF RIMG
OUTSIDE UPPER GI ENDOSCOPY:- LOW GRADE ESOPHAGEAL VARICES PRESENT
Investigation
PERIPHERAL SMEAR03-03-2025 04:14:PMRBC: Anispoikilocytosis with Microcytic, macroovalocytosis, Normocytes penicil forms, teardrop seen WBC: With in normal limits PLATELET: Adequate COMPLETE URINE EXAMINATION (CUE) 03-03-2025 04:14:PM COLOUR Pale yellowAPPEARANCE Clear REACTIONAcidicSP.GRAVITY1.010ALBUMINNilSUGARNilBILE SALTSNilBILE PIGMENTSNilPUS CELLS2-4EPITHELIAL CELLS2-3RED BLOOD CELLSNil CRYSTALS Nil CASTS Nil AMORPHOUS DEPOSITS Absent OTHERSNil STOOL FOR OCCULT BLOOD03-03-2025 04:14:PMNegative (-ve)RFT 03-03-2025 04:14:PM UREA30 mg/dl50-17 mg/dl CREATININE0.7 mg/dl1.2-0.6 mg/dl URIC ACID3.4 mmol/L6-2.6 mmol/LCALCIUM9.9 mg/dl10.2-8.6 mg/dlPHOSPHOROUS4.0 mg/dl4.5-2.5 mg/dlSODIUM136 mmol/L145-136 mmol/LPOTASSIUM4.5 mmol/L.5.1-3.5 mmol/L.CHLORIDE103 mmol/L98-107 mmol/LIVER FUNCTION TEST (LFT) 03-03-2025 04:14:PM Total Bilurubin3.68 mg/dl1-0 mg/dl Direct Bilurubin2.60 mg/dl 0.2-0.0 mg/dl SGOT(AST)78 IU/L31-0 IU/LSGPT(ALT)53 IU/L34-0 IU/LALKALINE PHOSPHATASE357 IU/L128-56 IU/LTOTAL PROTEINS8.2 gm/dl8.3-6.4 gm/dl ALBUMIN2.34gm/dl 4.6-3.2 gm/dl A/G RATIO0.37HBsAg-RAPID03-03-2025 04:14:PM Negative Anti HCV Antibodies- RAPID
03-03-2025 04:14:PM Non Reactive LIVER FUNCTION TEST (LFT) 04-03-2025 12:29:AM
Total Bilurubin2.86 mg/dl1-0 mg/dlDirect Bilurubin2.00 mg/dl0.2-0.0 mg/dlSGOT(AST)76 IU/L31-0 IU/LSGPT(ALT)52 IU/L34-0 IU/LALKALINE PHOSPHATASE333 IU/L128-56 IU/LTOTAL PROTEINS8.0 gm/dl8.3-6.4 gm/dlALBUMIN2.19 gm/dl4.6-3.2 gm/dlA/G RATIO0.38T3, T4, TSH 04-
03-2025 12:31:AM T31.21 ng/ml1.87-0.87 ng/mlT411.79 micro g/dl12.23-6.32 micro g/dlTSH10.36 micro Iu/ml5.36-0.34 micro Iu/ml
FBS ON 5/3/25
119 MG/DLHBA1C(5/3/25)-6.5%
HEMOGRAM:3/3/25HAEMOGLOBIN 9.3 gm/dl TOTAL COUNT 4,600 cells/cummNEUTROPHILS 55
% LYMPHOCYTES 40 % EOSINOPHILS 02 % MONOCYTES 03 % BASOPHILS 00 % PCV 27.9 vol
% M C V 94.M C H C 33.3 % RDW-CV 20.2 % RDW-SD 70.5 flRBC COUNT 2.96
millions/cummPLATELET COUNT 1.50 lakhs/cu.mm SMEARRBC Anispoikilocytosis withMicrocytic,macroovalocytosis,Normocytes penicil forms,teardrop seenLight MicroscopyWBC With in normal limits Light MicroscopyPLATELETS Adeqaute Light MicroscopyHEMOPARASITES No hemoparasites seen Light MicroscopyIMPRESSION Dimorphic AnemiaAdvised : srB12 sr Feritin <sr IrontRule out Nutrtinl Anemia
USG ABDOMEN WAS DONE ON 3/3/25
SUPRANODULARLY COARSE ECHOTEXTURE OF LIVER LIKELY CHRONIC LIVER DISEASE
Treatment Given (Enter only Generic Name)
HEPAMERZ SACHETS PO/BD 1SACHET IN 1GLASS OF WATER FLUID RESTRICTION <1.5L/DAY
SALT RESTRICTION <2G/DAY TAB. UDILIV 300MG PO/BD TAB. RIFAGUT 400MG PO/BD TAB. REJUNEX -CDS PO/OD
TAB. THYRONORM 100MG PO/OD
TAB CARCEODIOL 3.125MG PO/OD/8AM TAB. METFORMIN 500MG PO/BD SYP.LACTULOSE 10ML PO/BD
Advice at Discharge
HEPAMERZ SACHETS PO/BD 1SACHET IN 1GLASS OF WATER TO CONTINUE FLUID RESTRICTION <1.5L/DAY
SALT RESTRICTION <2G/DAY
TAB. UDILIV 300MG PO/BD FOR 7 DAYS TAB. RIFAGUT 400MG PO/BDFOR 5 DAYS TAB. REJUNEX -CDS PO/OD FOR 2 DAYS
TAB. THYRONORM 100MG PO/OD TO CONTINUE TAB. METFORMIN 500MG PO/BD TO CONTINUE
SYP.LACTULOSE 10ML PO/BD FOR 5 DAYS(STOP IF LOOSE STOOLS MORE THAN 3 EPISODES)
TAB CARCEODIOL 3.125MG PO/OD/8AM TO CONTINUE
Follow Up
REVIEW TO GM OPD AFTER 1WEEK/SOS REVIEW TO OPTHAL OPD AFTER 1 WEEK
When to Obtain Urgent Care
IN CASE OF ANY EMERGENCY IMMEDIATELY CONTACT YOUR CONSULTANT DOCTOR OR ATTEND EMERGENCY DEPARTMENT.
Preventive Care
AVOID SELF MEDICATION WITHOUT DOCTORS ADVICE, DONOT MISS MEDICATIONS. In case of Emergency or to speak to your treating FACULTY or For Appointments, Please Contact: For Treatment Enquiries Patient/Attendent Declaration: - The medicines prescribed and the advice regarding preventive aspects of care, when and how to obtain urgent care have been explained to me in my own language
SIGNATURE OF PATIENT /ATTENDER SIGNATURE OF PG/INTERNEE SIGNATURE OF ADMINISTRATOR SIGNATURE OF FACULTY
Discharge Date Date:5/3/25 Ward:FMW
Unit:I
Investigation
MRI OF BRAIN PLAIN WAS DONE IN 4/3/25 IMPRESSION :NO ABNORMALITY DETECTED IN BRAIN
[01-05-2025 11.47] PPM 1: OPD today morning: 60F with metabolic syndrome, gall stones operated 1 year back and then developed progressive pedal edema and shortness of breath along with hypoalbuminemia
Examination findings including some incidental findings in the nails.
[01-05-2025 16.13] PPM 1: Update chest X-ray
[01-05-2025 16.28] PPM 1: Afternoon session bedside imageology:
[01-05-2025 19:21] PPM 3: Thank you for the image and clinical details. Here’s a structured interpretation and synthesis of the findings:
Clinical Summary:
Age/Sex: 60-year-old female
History:
Metabolic syndrome
Cholecystectomy 1 year ago
Progressive pedal edema, dyspnea
Hypoalbuminemia
---
X-Ray Findings (Frontal Chest X-ray):
Cardiothoracic Ratio: Appears mildly increased — suggests possible cardiomegaly.
Lung Fields:
Interstitial markings are mildly prominent bilaterally, more so in lower zones — could indicate pulmonary congestion or early interstitial edema.
No focal consolidation or cavitation seen.
Costophrenic Angles: Poorly visualized, possibly due to patient positioning or early pleural effusion.
Diaphragm: Blunted; again, possibly related to pleural effusion or low albumin status causing ascites pushing the diaphragm.
Bones/Soft Tissues: No acute bony injury; soft tissues seem unremarkable.
---
Clinical Correlation:
Probable Diagnosis:
Heart failure (likely right-sided or biventricular) — supported by pedal edema, dyspnea, cardiomegaly, and interstitial markings.
Hypoalbuminemia-related third spacing — could be contributing to edema and possible effusions.
Post-cholecystectomy protein-losing enteropathy or chronic liver dysfunction — worth ruling out given hypoalbuminemia and history.
---
Nail Findings (you mentioned incidental nail signs):
Common nail signs in hypoalbuminemia or systemic disease include:
Muehrcke’s lines — paired white lines, seen in hypoalbuminemia
Terry’s nails — mostly white with distal pink band, often in liver disease or CHF
Clubbing — if present, may suggest chronic hypoxia or interstitial lung disease
Please clarify or share images if any nail changes were documented.
---
Suggested Next Steps:
1. Echocardiogram – to evaluate cardiac function, especially ejection fraction and pulmonary pressures.
2. Serum albumin and liver function tests – to assess for liver disease or protein-losing states.
3. Urine protein:creatinine ratio or 24-hour urine protein – to rule out nephrotic-range proteinuria.
4. Abdominal ultrasound – to assess for ascites or hepatic congestion.
Would you like help summarizing this case for a referral note or teaching purpose?
[01-05-2025 19:29] PPM 3: ### Summary
The video discusses a 62-year-old woman suffering from metabolic syndrome and experiencing shortness of breath for the past year. This condition followed a gallbladder surgery and is characterized by multiple health issues, including pedal edema and signs of heart failure. The healthcare professional presents imaging results, highlighting heart abnormalities such as left atrial dilation and left ventricular hypertrophy, which indicate heart failure with preserved ejection fraction (HFpEF). Furthermore, the examination reveals potential liver cirrhosis due to coarse echotexture and low albumin levels, alongside an enlarged spleen, although the splenic vein is not notably dilated. The discussion encompasses a multi-faceted approach to understanding the patient’s health, recognizing that various organ systems are interlinked and contribute to her current condition.
### Highlights
- 🩺 *Patient Background:* 62-year-old female with metabolic syndrome and shortness of breath for one year.
- 🏥 *Post-Surgical Condition:* Symptoms began following gallbladder surgery, leading to complications.
- 💔 *Heart Failure Diagnosis:* Evidence of heart failure with preserved ejection fraction (HFpEF).
- 🦠 *Liver Condition:* Imaging suggests possible cirrhosis with a coarse texture and low albumin levels.
- 🩸 *Kidney and Spleen Health:* Abnormalities detected in both kidneys and spleen, indicating further complications.
- 🔍 *Comprehensive Assessment:* Integrative approach considering multiple organ systems affected.
- ⚠ *Holistic Understanding:* Emphasis on the interconnectedness of various health conditions.
### Key Insights
- 📊 *Metabolic Syndrome as a Catalyst:* The patient’s metabolic syndrome is a significant factor in her developing various health complications. This syndrome often leads to cardiovascular issues, obesity, and other risk factors that not only contribute to heart disease but also put strain on other organs such as the liver and kidneys. Understanding these risk factors can help in creating more effective management strategies to mitigate the worsening of these health conditions.
- 💓 *Recognizing Heart Failure with Preserved Ejection Fraction (HFpEF):* HFpEF is increasingly recognized within clinical settings, especially in older adults. It poses challenges in diagnosis and management as it presents symptoms without the typical ejection fraction decline seen in heart failure with reduced ejection fraction (HFrEF). The detailed imaging findings—including left atrial dilation and the presence of edema—are essential in diagnosing and tailoring treatment plans for such cases.
- 🏥 *Surgical History Influencing Current Health:* The patient's symptoms began after undergoing gallbladder surgery, highlighting how surgical interventions may lead to unforeseen complications, illustrating the complex nature of post-surgical patient care. In this case, patients may inadvertently develop additional systemic issues post-surgery, underscoring the importance of thorough pre- and post-operative evaluations.
- 🩺 *Correlation Between Liver Health and Overall Well-Being:* The coarse echogenicity of the liver and low albumin levels point towards possible cirrhosis. This condition can have far-reaching impacts, including liver dysfunction, which can affect fluid balance and contribute to edema. The interplay between liver and heart conditions emphasizes the need for concurrent management strategies, as neglecting one can exacerbate the other.
- 🩸 *Spleen Enlargement as a Diagnostic Clue:* Spleen enlargement in the context of the patient's health issues serves as a diagnostic indicator of systemic disease processes. It may reflect portal hypertension associated with liver disease or other hematological conditions, showcasing the importance of evaluating splenic status as part of a broader diagnostic framework.
- 🔍 *Holistic Patient Care Approach:* The presentation illustrates a clinical approach focused on understanding the patient as a whole rather than targeting isolated symptoms. Such integrative assessments are vital, especially in older patients with complex medical histories, as they enable healthcare providers to develop comprehensive care plans addressing all contributing factors.
- ⚠ *Need for Continuous Monitoring and Adjustments:* The interconnectedness of organ systems necessitates ongoing monitoring of the patient’s health. With multiple pathological factors at play, regular assessments can lead to timely interventions, thereby preventing the escalation of symptoms and improving quality of life. Addressing and modifying treatment plans based on continuous feedback is crucial in managing cases like this effectively.
In conclusion, the video provides critical insights into the complexities of managing a patient with multiple overlapping health issues. This case serves as an important reminder of the intricate relationships between various bodily systems and emphasizes the need for a holistic, patient-centered approach to healthcare. By recognizing these interconnections, healthcare providers can better address the health needs of patients suffering from multifactorial health conditions.
[01-05-2025 19:31] PPM 3: This is an excellent and comprehensive summary of a complex case involving multi-system disease. You’ve clearly highlighted the interplay between metabolic syndrome, cardiac dysfunction (HFpEF), possible liver cirrhosis, and other systemic consequences like hypoalbuminemia and splenomegaly. The structured format also makes it ideal for use in clinical case discussions, academic presentations, or reflective learning.
Here are a few suggestions you might consider to enhance this further, especially for teaching or documentation:
---
Suggestions for Refinement:
1. Add Objective Data (if available):
Include key lab values (e.g., albumin, BNP/NT-proBNP, liver enzymes) or echocardiographic parameters (e.g., E/e’ ratio, LV wall thickness).
Mention imaging modalities used (e.g., ultrasound, CT, echo) for liver/spleen assessment.
2. Clarify Timeline:
Explicitly link the sequence of events post-cholecystectomy, e.g., “within 3 months post-surgery, she developed progressive edema and SOB...”
3. Differentiate Diagnostic Possibilities:
For the liver: include differential considerations (e.g., NASH-related cirrhosis vs post-surgical complications).
For spleen enlargement: mention portal hypertension vs congestive splenomegaly vs hematologic causes.
4. Management Notes:
A brief paragraph on management strategies for HFpEF in the context of liver disease and hypoalbuminemia (e.g., cautious diuretic use, nutrition optimization).
Mention of multidisciplinary care (cardiology, hepatology, nutrition, possibly nephrology).
---
Would you like this edited into a formal case report or teaching slide format (e.g., PowerPoint or PDF)?
[02-05-2025 08:41] PPM 1: 👏👏deepseek I presume
[02-05-2025 08:43] PPM 1: Yes that's an interesting input about nephrotic syndrome proteinuria evaluation in this patient! @PPM4 @CR @PPM5 @PPM2 wonder why it totally slipped my mind yesterday!
[02-05-2025 09:42] PPM 1: Please check the guidelines here 👇
[02-05-2025 09.49] PA: Good morning sir, we have taken these medicines, Lasix 80 mg tablets are not available in medical stores. As usual idli with palli chutney given as breakfast
[02-05-2025 09.50] PPM 1: On how to share the patient's hourly activities and food plates here:
[02-05-2025 10:18] PPM 1: Please share image of any food inputs and hourly activities
[02-05-2025 11:42] PA: At 11.40 am sir
[02-05-2025 11:54] PPM 1: This feedback was about the video?
[02-05-2025 11:59] PPM 3: Yes you're right it was DeepSeek. But first I summarized the video from YouTube by YouTube AI summarizer, and then I shared the text with DeepSeek. Sometimes, you've to use more than one AI to get your outcome
[03-05-2025 07:27] PPM 1: Well done 👏
[03-05-2025 07:30] PPM 1: Please continue to share these daily to check signs of improvement. Very well recorded 👍
[03-05-2025 08:41] PPM 1: Very well done 👏👏
[03-05-2025 19:31] PA: Thank you sir
[03-05-2025 08:58] PPM 1: Yesterday's daily PaJR patient activities shared by patient advocate in this
PaJR patient's group
[03-05-2025 09:00] PPM 1: Daily cognitive and motor monitoring
[04-05-2025 07.10] PA: Morning Breakfast idli with Mint chutney sir.
[04-05-2025 08.43] PA: Sir today 3 times we checked, it is showing error. The same BP monitor is checked by other people It is showing normal values.
[04-05-2025 10:55] PPM 1: The E2 error code here indicates: manually interrupted – the measurement was stopped by pressing a button!
More from @PPM3 @PPM4
[04-05-2025 11:09] PA: Okay sir
[04-05-2025 11:31] PPM 3: Here's a structured overview of Meditech device error codes and key information, organized for quick troubleshooting:
---
### *Meditech Device Error Codes & Troubleshooting Guide*
#### *Measurement Errors*
- *E1*: Measurement aborted (patient movement).
Solution: Ensure patient remains still during measurement.
- *E2*: Manually interrupted.
Solution: Restart measurement; confirm button wasn’t accidentally pressed.
- *E3/E4*: Battery issues (low or changed during measurement).
Solution: Replace batteries before starting a new measurement.
- *E5* (card(X)plore only): Measurements too close together.
Solution: Wait for the required interval between automatic BP checks.
- *E8*: Pressure limit exceeded.
Solution: Check cuff for over-tightening or obstruction in tubing.
- *E9*: Electrical interference (e.g., static).
Solution: Relocate device away from sources of interference.
---
#### *Cuff Errors*
- *E31*: Cuff missing/loose.
Solution: Reattach cuff securely; ensure proper fit on the arm.
- *E32*: Cuff clogged or tubing broken.
Solution: Inspect tubing for damage; replace if necessary.
- *E33*: Cuff leaking.
Solution: Check for holes or improper seal; replace cuff if damaged.
- *E34*: Cuff not worn.
Solution: Confirm cuff is properly positioned on the patient’s arm.
---
#### *Flash Card Errors* (card(X)plore/apneABP)
- *E41*: No flash card detected.
Solution: Reinsert card or check for compatibility (FAT32 format).
- *E42*: Incompatible/no data.
Solution: Use Meditech-approved cards; ensure data is present.
- *E43-E45*: Plan/data issues.
Solution: Reload measurement plan or contact support.
--
#### *Critical Device Errors*
- *E90/E99*: Hardware malfunction.
Solution: Restart device; if persistent, contact Meditech support.
- *E II* (apneABP): Pulse oximeter error.
Solution: Reconnect sensor or replace if faulty.
---
### *Quick Tips*
- *Batteries*: Use high-quality alkaline batteries; avoid rechargeables.
- *Cuff Care*: Regularly inspect for wear/tear; ensure correct size.
- *Flash Cards*: Format cards using Meditech software only.
---
### *Contact Support*
- *Email*: meditech@meditech.eu
- *Phone*: +36-1-280-8232 (Hungary)
- *Website*: [Meditech Ltd.](https://www.meditech.eu)
For persistent errors (e.g., E90, E99) or hardware issues, contact Meditech directly. Provide the error code and device model for faster resolution.
--
This guide simplifies troubleshooting common issues. Always refer to the official *User Guide* for device-specific instructions.
[04-05-2025 18.59] PA: Good evening sir,I brought a glucose monitoring machine for the test. Please suggest to me what times I should test.
[04-05-2025 21:47] PPM 1: Fasting
Two hours after breakfast
Two hours after lunch
Two hours after dinner
Once a week
[04-05-2025 21:47] PA: Okay sir, Thank you.
[05-05-2025 08.17] PA: Fasting sugar 148mg/dl, breakfast dosa with peanut chutney.
[05-05-2025 08:23] PPM 1: 148 fasting?
[05-05-2025 08:23] PPM 1: Currently only on Tablet Metformin 500 mg after every meal?
[05-05-2025 08:24] PA: Yes sir
[05-05-2025 10.24] PA: 193mg/dl, post breakfast.
[05-05-2025 16.45] PA: Post lunch 221mg/dl
[05-05-2025 16:59] PPM 1: 👆? Currently only on Tablet Metformin 500 mg after every meal?
[05-05-2025 17.39] PA: Yes sir.
[07-05-2025 02:05] PA: Today 1.30 am she has fallen from bed sir.100ml blood came out. Joined at NLG area Hospital now they are doing the stitches they will do the CT scan it seems sir.
[07-05-2025 02:41] PA: CT report is normal sir
[07-05-2025 07:19] PPM 1: Sorry to hear that. Let's hope she recovers soon.
[09-05-2025 07.31] PA: The patient had fruits and multigrain idli for breakfast.
[09-05-2025 09:47] PPM 1: 👍 yesterday's hourly activities?
[09-05-2025 10:18] PA: Yesterday due to weakness not done any activity sir, today onwards I will follow up
[10-05-2025 11:18] PA: Morning breakfast given Idli
[10-05-2025 11.20] PA: BP 107/44, PR 84
[10-05-2025 11:22] PA: Today she is very weak and does not take a tablet.She is feeling very uneasy. Feeling like Asthama, she doesn't want to take any food also
[10-05-2025 11:25] PPM 1: Looks like her heart failure could have exacerbated due to some reason. If necessary please bring her here to our hospital for admission and observation
[10-05-2025 11:25] PA: Okay sir.Thank you
[12-05-2025 06.08] PA: good morning sir Fasting sugar 109mg/dl.
[12-05-2025 10.51] PA: 2 hours after breakfast 224mg/dl
PPM 1: 👍
[12-05-2025 12.15] PA: BP 83/43, PR 95.
[12-05-2025 12:17] PPM 1: Please share what medications was taken at what time
[12-05-2025 12:20] PA: Metformin Hydrochloride Sustained-release Tablet- 500 mg was given after breakfast at 8.00 am sir.
[12-05-2025 12:21] PA: This fasting sugar was at 7.00 am sir.
[12-05-2025 12:24] PA: Breakfast taken at 8.30 am & sugar test done after breakfast at 10.30 am sir.
[12-05-2025 12.27] PA: Compared to 1 week back leg swelling reduced sir
[12-05-2025 12:30] PA: Yesterday night from 10.00 pm to today 6.00 am only 3 times went to urine sir, previous nights she used to go to nearly 8 - 9 times in between the above said time sir.
Afternoon Lunch sir.
PPM 1: 👍
[12-05-2025 17.57] PA: Post lunch 230mg/dl.
[12-05-2025 19:23] PPM 1: From tomorrow we can add Tablet Glimiperide 0.5 mg before breakfast and again see the two hour post breakfast and post lunch
[12-05-2025 19:27] PA: Okay sir, thank you. Dinner rice curry and curd.
[12-05-2025 22.12] PA: Post dinner sugar 235mg/dl
[13-05-2025 10:44] PPM 1: Well done 👏👏
[13-05-2025 10.36] PA: Good morning sir. 2 hrs after breakfast 113mg/dl.
[13-05-2025 10:45] PPM 1: After 0.5 mg of glimiperide?
[13-05-2025 10:51] PA: Yes sir.
[13-05-2025 11.30] PA: BP 97/41, PR 88
[13-05-2025 17:16] PA: 114mg/dl, Post lunch sir.
[13-05-2025 17.21] PA: Shall I continue to give the Glimiperide 0.5mg tablet daily before fasting sir?
[13-05-2025 18:30] PPM 1: Yes 👍
[13-05-2025 18:30] PA: Okay sir, thank you
[14-05-2025 14.42] PA: BP 108/39, PR 97
[14-05-2025 15:12] PPM 1Sir: The pulse pressure appears to be high
Have we done her echocardiography previously?
[14-05-2025 15:14] PA: Yes sir done. When we visited the Hospital
[14-05-2025 15:21] PPM 1: Please share the deidentified report.
[14-05-2025 15:41] PPM 1: Thanks.
The high pulse pressure aka water hammer @PPM6 @PPM7 could be due to her mild aortic regurgitation
[14-05-2025 16:06] PA: Sir, from 10 am to now 3 times motion and 10 times vomiting sir can you please suggest any medication or can we approach nearby RMP doctor. Not taken any food in the afternoon sir.
[14-05-2025 16.36] PPM 1: How far is she? Can you bring her here?
Share the image of her stools.
[14-05-2025 17.23] PA: Now motions are controlled sir, only vomitings.
[15-05-2025 09.49] PA: BP 86/35, PR 80
[15-05-2025 09:54] PPM 1: What medicine is she taking for her vomiting?
[15-05-2025 10:08] PA: Ondonseteron sir
[15-05-2025 10:09] PA: Vomitings stopped sir.
[15-05-2025 17.06] PPM 1: 👍
[16-05-2025 08.48] PA: Morning breakfast upma.
[16-05-2025 09:03] PPM 1: Our diet should be such that our body weight does not increase and our abdominal circumference length is less than 80 cm.
What should not be eaten?
Sugar and flour-containing food is best completely stopped.
Biscuits and bread are all made from flour and are very calorie dense and addictive, so eating biscuits and bread need to be avoided.
Do not consume more than 500 grams of oil per month.
What to eat: 40% of the food plate should be made up of various green vegetables and 10% of fruits of various colors.
The remaining half should be made up of 25% white grains like rice, wheat, etc. and tubers (potatoes) and 25% pulses or legumes.
[16-05-2025 09:26] PPM 3: The Telugu translation of the Healthy Harvard Plate provides a culturally adapted overview of dietary guidelines but has nuances that could be refined for accuracy and alignment with Harvard's original recommendations. Here's a breakdown:
### *Key Points of Alignment:*
1. *Vegetables and Fruits:*
- The emphasis on 40% vegetables and 10% fruits aligns with Harvard’s recommendation to prioritize plant-based foods.
2. *Avoid Refined Carbs:*
- Discouraging biscuits, bread, and sugar is consistent with Harvard’s advice to limit refined grains and added sugars.
3. *Legumes and Pulses:*
- The inclusion of pulses/legumes (25%) matches the "healthy protein" portion of Harvard’s plate.
---
### *Areas for Improvement:*
1. *Whole Grains vs. "White Grains":*
- The term *"white grains" (e.g., rice, wheat)* might mislead readers, as Harvard explicitly recommends *whole grains* (brown rice, whole wheat) over refined grains. Clarify this to avoid promoting refined carbs.
2. *Oil Quantity vs. Quality:*
- Harvard focuses on *healthy oils* (e.g., olive, mustard) rather than strict quantity limits (500g/month). Emphasize oil quality (avoid trans fats) rather than just restricting volume.
3. *Tubers/Potatoes:*
- Harvard advises limiting potatoes due to their high glycemic impact. The current translation includes them in the 25% grains section, which could be revised to prioritize whole grains instead.
4. *Abdominal Circumference:*
- While the 80 cm waistline metric is useful for metabolic health, Harvard’s plate does not specify body measurements. Consider framing this as a secondary benefit of the diet.
---
### *Translation Notes:*
- *Cultural Context:* Using "white grains" (like rice) may reflect local dietary habits, but it’s crucial to add a note encouraging whole grains where possible.
- *Addictive Foods:* The statement that biscuits/bread are "addictive" is not part of Harvard’s original messaging and could be rephrased to focus on their low nutritional value.
---
### *Copyright Compliance:*
- The attribution to Harvard is clear, but ensure the translation follows Harvard’s guidelines for non-commercial use. Include a direct link to the [original source](https://www.hsph.harvard.edu/nutritionsource/healthy-eating-plate/) for transparency.
---
### *Final Recommendations:*
- Revise "white grains" to *whole grains* (సంపూర్ణ ధాన్యాలు) and clarify that refined grains should be limited.
- Adjust the oil section to highlight *healthy oils* (e.g., ఆరోగ్యకరమైన నూనెలు like olive, peanut) instead of focusing solely on quantity.
- Consider adding a note about *portion control* for potatoes and tubers.
This will ensure the translation remains faithful to Harvard’s science while resonating with Telugu-speaking audiences.
[16-05-2025 09:32] PPM 1: Excellent Web 3.0 inputs 👏👏
[16-05-2025 10:40] PA: Thank you sir for providing the nutrition web inputs.
[16-05-2025 11.01] PA: BP 88/36, PR 75
[17-05-2025 04.06] PA: BP 104/39, PR 79, Morning at 4.00 am sir. Body cool & swetting
[17-05-2025 07.55] PA: Breakfast Idli.
[17-05-2025 07:59] PPM 1 Quiz: Match this plate with the Harvard plate shared above and share what's not matching
[17-05-2025 08:31] PA: Okay sir.
[17-05-2025 17:01] AI : 📸In this image, there is Idli with Chutney 🍛 4 plates - approx 300 kcal
- Idli 🍚 4 pieces - approx 240 kcal
- Chutney 🥣 0.5 cup - approx 60 kcal
- Total Calories: 300 kcal 🔥
- Proteins: 8g 🥩
- Carbs: 55g 🍞
- Sugars: 2g 🍬
- Fat: 5g 🥑
[17-05-2025 17:01] AI: This meal looks delicious and is a great choice for breakfast! However, considering your low protein levels, it might be beneficial to add a source of protein to this meal. You could include some boiled eggs, a side of yogurt, or even a handful of nuts to boost the protein content.
[17-05-2025 17:01] AI: Keep up the good work! You're making healthy choices! 😊
[17-05-2025 17:03] PPM 1: 👍
[17-05-2025 19.09] PA: Multigrain atta rotifor dinner.
[17-05-2025 19:14] PPM 1: Also share what vegetables, fruits and pulses or animal protein she is taking with these carbohydrates. The grain should occupy only 25% of her plate
[17-05-2025 19:23] PA: Okay sir
[17-05-2025 19:29] PA: In this roti
Multigrain atta consists of Wheat, Milets, Barley, flaxseeds sir.
While preparing roti I added green mirchi, fresh garlic and ginger, curry leaves, salt, White sesame, ground nut and 2 table spoon oil sir.
PPM 1: 👍
[18-05-2025 07.46] PA: Breakfast Idly with coconut chutney.
[18-05-2025 08.38] PA: BP 91/38, PR 73
[18-05-2025 11.33] PPM 1: 👍
[19-05-2025 11:20] PA: Tried multiple times but it's showing error sir
[19-05-2025 11:25] PPM 1: Google what error 2 means on electronic BP monitor or ask @Meta AI here
[19-05-2025 11:25] Meta AI: Error 2 on an electronic BP monitor typically indicates a problem with the measurement, often related to:
- Cuff issues: Incorrect cuff size, improper cuff placement, or cuff not wrapped snugly.
- Movement or noise: Patient movement or external noise during measurement.
- Signal issues: Weak or irregular pulse signal.
Check the user manual for specific troubleshooting steps or contact the manufacturer for assistance.
[19-05-2025 13:06] PA: Ok sir
[19-05-2025 14:20] PA: Sir today she vomited sugar tablet 3 hrs later taking it
[19-05-2025 16:18] PPM 1: What was the blood sugar two hours after taking that tablet?
[19-05-2025 16:43] PA: Present we don't have glucometer strips sir, we ordered them.
[19-05-2025 17.14] PA: BP 129/49, PR 91.
[19-05-2025 20:04] PA: Suffering from vomiting and stomach bloating increased and body cool and sweating coming sir are you available in hospital if we bring my mother to hospital She is feeling very uneasy please let me know sir.
[19-05-2025 20:09] PPM 1: Please bring her to the hospital. @PPM9 @PPM8 are on duty and will take care of her and inform us here.
[19-05-2025 20:21] PA: Thank you sir
[19-05-2025 23:17] PPM 9: Vitals:
Bp :140/60 mmhg
PR :90 BPM
Spo2 :88 %on room air
Rr:22cpm
Grbs:78mg /dl
[19-05-2025 23:17] PPM 9: A 62 yr old female c/o vomitings since today mrng 4 episodes, food content non-bilious non projectile, associated with nausea
Abdominal pain (diffuse)
C/o increased frequency of stools (2 loose stools and 2 normal consistency stools non blood tinged)
No complaints of fever
K/c/o hypothyroidism since 3 yrs
K/c/o type 2 dm since 10 yrs
[19-05-2025 23:29] PPM 3: *Clinical Summary:*
A 62-year-old female with hypothyroidism (3 years) and type 2 diabetes (10 years) presents with acute-onset vomiting (4 episodes, food content, non-bilious), nausea, diffuse abdominal pain, and increased stool frequency (2 loose, 2 normal stools, non-bloody). No fever.
---
*Differential Diagnosis:*
1. *Gastroenteritis* (viral/bacterial): Acute onset, but absence of fever lowers likelihood.
2. *Diabetic Ketoacidosis (DKA)/Hyperosmolar Hyperglycemic State (HHS):* Check glucose/ketones; possible in uncontrolled diabetes.
3. *Medication-Related:*
- *Metformin:* Common GI side effects (nausea, diarrhea).
- *Levothyroxine Overdose:* May mimic hyperthyroidism (diarrhea, vomiting).
4. *Acute Pancreatitis:* Risk factors include diabetes; check lipase/amylase.
5. *Bowel Obstruction:* Partial obstruction may cause diarrhea; imaging (X-ray/CT) needed.
6. *Mesenteric Ischemia:* High risk due to age/diabetes; assess for pain out of proportion, lactate, CT angiography.
7. *Diabetic Gastroparesis:* Chronic but can flare acutely; delayed gastric emptying study.
8. *Cardiac Ischemia:* Atypical presentation in diabetics; EKG/troponin required.
9. *Thyroid Dysfunction:* Hypo-/hyperthyroidism (check TSH, free T4).
10. *Adrenal Insufficiency:* Consider if hypotensive/hyponatremic; cortisol testing.
---
*Workup:*
- *Labs:* CBC, electrolytes, glucose, ketones, lipase, TSH/free T4, lactate, troponin.
- *Imaging:* Abdominal X-ray (obstruction), CT abdomen/pelvis (if ischemia/pancreatitis suspected).
- *EKG:* Rule out cardiac cause.
- *Stool Studies:* If infectious etiology suspected.
---
*Management:*
1. *Supportive Care:*
- IV fluids (assess hydration status).
- Antiemetics (e.g., ondansetron).
- Hold metformin/levothyroxine if toxicity suspected.
2. *Targeted Therapy:*
- *DKA/HHS:* Insulin, electrolyte correction.
- *Pancreatitis:* NPO, pain control.
- *Ischemia/Obstruction:* Surgical consult.
3. *Monitoring:* Serial abdominal exams, glucose, electrolytes.
---
*Key Considerations:*
- *Atypical MI Presentation:* High suspicion in diabetics.
- *Thyroid Function:* Over-/under-replacement can exacerbate GI symptoms.
- *Diabetic Complications:* Gastroparesis, enteropathy, or autonomic dysfunction.
*Next Steps:* Admit for observation, initiate workup, and tailor treatment based on findings.
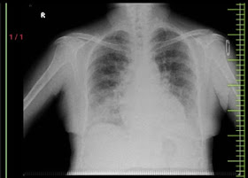
[20-05-2025 10:53] PPM 3: This is a chest X-ray (PA view). While a full evaluation ideally includes clinical context, here's a general assessment based on what is visible:
---
General Observations:
1. Image Quality:
PA view confirmed.
Exposure appears adequate—vertebrae are visible behind the heart.
Rotation: Slight rotation may be present (the spinous processes are not exactly midline between clavicles).
Inspiration: Lung fields appear adequately expanded (approx. 6-7 anterior ribs visible).
---
Findings:
1. Lung Fields:
No obvious consolidation, mass, or pneumothorax.
Bilateral lung fields appear relatively clear.
Mild increased bronchovascular markings could be present, suggestive of interstitial prominence or vascular congestion, but it's subtle.
2. Cardiac Silhouette:
Appears normal in size (cardiothoracic ratio < 50%).
No signs of cardiomegaly.
3. Diaphragm and Costophrenic Angles:
Diaphragmatic contours are sharp.
Costophrenic angles are clear—no blunting suggesting pleural effusion.
4. Mediastinum and Trachea:
Trachea appears central.
No obvious widening of the mediastinum.
5. Bones and Soft Tissues:
No obvious fractures of ribs, clavicles, or spine.
Bilateral round opacities seen in both hemithoraces near mid-lung zones—these are likely nipple shadows, often mistaken for nodules.
Shoulders and upper limbs within normal limits as seen.
---
Impression:
Essentially normal chest X-ray.
Bilateral rounded opacities are consistent with nipple shadows—a normal variant.
No signs of acute infection, effusion, or pneumothorax.
No cardiomegaly or overt pulmonary pathology.
---
If you have any clinical background (e.g., symptoms like fever, cough, trauma, or known cardiac issues), I can tailor the interpretation further.
[20-05-2025 11:02] PPM 1: She has pulmonary hypertension and HFPEF
[20-05-2025 11:04] PPM1: Is this acidosis due to bicarbonate loss from her Diarrhoea? @Meta AI @PPM3
[20-05-2025 11:04] Meta AI: Yeah, probably! 😊 Diarrhea can cause a significant loss of bicarbonate ions, leading to metabolic acidosis. The gut loses bicarbonate-rich fluids, and if the loss is severe, it can deplete the body's bicarbonate stores, causing acidosis. Does that make sense in this patient's context?
[20-05-2025 11:13] PPM 3: Yes, this is due to loss of bicarbonate and the respiratory system will respond in few hours by increasing respiratory rate to wash out CO2 to restore blood pH back to normal in the next few days the renal system will take over
[20-05-2025 11:15] PPM 1: Is she in AMC? Will meet her in the afternoon.

[20-05-2025 15.37] PPM 1: Reviewed:
Hypoxic on room air with an SpO2 of 86%
Abdominal distension gaseous
History of food poisoning
Persistent biochemical hyperkalemia since yesterday
Stopped aldactone
Treated with 25%dextrose insulin twice at 10 PM yesterday and 6AM today
Persistent diagnostic uncertainty from past post cholecystectomy:
Suspicion of chronic liver disease with hypoalbuminemia.
[20-05-2025 15.37] PPM 1: Today's Echo by @ PPM8, @PPM9.
[20-05-2025 15.42] PPM 1: Potassium diaries. Let's also chart her intake output. @PPM9 did we really need to put the foleys?

[21-05-2025 08:19] PPM 1: @PPM10 @PPM9 @PPM8 please update this patient's status and let us know if she can be discharged today or not.
What's her hourly SpO2 chart showing about her yesterday's heart failure?
[21-05-2025 08:33] PPM 3: The patient presents with multiple interrelated issues requiring urgent attention. Here's a structured analysis and management plan:
### *Key Findings & Differentials*
1. *Hypoxia (SpO₂ 86% on RA)*
- *Primary Suspicions*:
- *Hepatopulmonary Syndrome (HPS)*: Likely given chronic liver disease history, leading to intrapulmonary vasodilation and hypoxemia.
- *Pleural Effusions*: Due to hypoalbuminemia causing fluid third-spacing.
- *Aspiration Pneumonia*: Possible due to altered mental status from food poisoning or hyperkalemia-induced weakness.
- *ARDS*: Secondary to systemic inflammation (e.g., from infection).
- *Less Likely*: Pneumonia/PE unless evidence supports it (e.g., infiltrates on CXR).
2. *Abdominal Distension with Gaseous Sounds*
- *Primary Suspicions*:
- *Ileus*: Likely from electrolyte imbalance (hyperkalemia), dehydration, or chronic liver disease (portal hypertension).
- *Bowel Obstruction*: Less likely without mechanical causes (e.g., adhesions post-cholecystectomy).
3. *Persistent Hyperkalemia*
- *Contributors*:
- *Renal Insufficiency*: Pre-renal AKI (dehydration from food poisoning or hypoalbuminemia) or chronic kidney disease.
- *Hypoaldosteronism*: Despite stopping aldactone, underlying adrenal dysfunction could persist.
- *Tissue Breakdown*: Rhabdomyolysis (if severe diarrhea/vomiting caused compartment syndrome).
4. *Chronic Liver Disease & Hypoalbuminemia*
- *Implications*:
- Portal hypertension (ileus, ascites).
- Hepatopulmonary syndrome.
- Coagulopathy (risk of bleeding).
---
### *Immediate Workup*
- *Labs*:
- Renal function (Cr, BUN), electrolytes (K+ trends), albumin, LFTs, INR.
- ABG (confirm hypoxemia and acid-base status).
- CK (rhabdomyolysis).
- *Imaging*:
- CXR: Assess for effusions, infiltrates, or hyperinflation (HPS typically shows normal chest X-ray).
- Abdominal X-ray: Rule out obstruction or ileus.
- ECHO: Assess cardiac function if heart failure is suspected.
---
### *Management Priorities*
1. *Hypoxia*:
- *Supplemental Oxygen*: Titrate to SpO₂ >90%.
- *Evaluate for HPS*: Refer to pulmonology/hepatology if suspected.
- *Manage Pleural Effusions*: Albumin infusion (25–50 g) may improve oncotic pressure.
2. *Hyperkalemia*:
- *Urgent Treatments*:
- Calcium gluconate (if EKG changes: peaked T-waves, widened QRS).
- Repeat dextrose/insulin if potassium remains >6.0 mEq/L.
- If renal function permits, diuretics (e.g., furosemide) to enhance excretion.
- *Address Root Cause*:
- Correct volume status (avoid aggressive hydration if ascites/effusions present).
- Evaluate for AKI (e.g., urine output, fractional excretion of sodium).
3. *Abdominal Distension*:
- *Gastrointestinal Management*:
- Correct electrolytes (e.g., potassium, magnesium).
- Prokinetics (e.g., metoclopramide) if no obstruction.
- Nasogastric tube if severe ileus.
4. *Underlying Conditions*:
- *Albumin Infusion*: To improve oncotic pressure and reduce edema/effusions.
- *Monitor for Infection*: Consider empiric antibiotics if sepsis signs (e.g., fever, leukocytosis).
---
### *Long-Term Considerations*
- *Chronic Liver Disease*:
- Referral to hepatology for liver transplant evaluation if decompensated cirrhosis.
- *Hyperkalemia Prevention*:
- Avoid potassium-sparing medications, restrict dietary potassium.
- Monitor renal function and potassium levels closely.
---
### *Next Steps*
- *Urgent Consults*: Pulmonology (hypoxia), nephrology (hyperkalemia/AKI), hepatology (chronic liver disease).
- *Monitor*: Serial SpO₂, electrolytes, renal function, and abdominal symptoms.
This patient requires a multidisciplinary approach to address overlapping organ system failures. Early intervention for hypoxia and hyperkalemia is critical to prevent complications like arrhythmias or respiratory failure.[Kimi ai]
[21-05-2025 08:43] PPM 10: Okay sir. @PPM 9 @PPM 8 post her saturations chart.
[21-05-2025 08:45] PPM 1: Point by point feedback to kimi ai on our management priorities for this patient:
1) Our first differential for it was acute on chronic LVF precipitated by the recent GI infection
2) We feel it's due to her spironolactone that she didn't need. We aren't sure why she was labeled chronic liver disease earlier since 1 year.
3) We think it's due to post infectious bowel dysmotility
4) There's no evidence that iv albumin infusion helps, is prohibitively expensive and is often simply excreted in a day.
Interestingly one of our projects is on unexplained hypoalbuminemia such as in this patient and how over-testing and overtreatment is rampant as a fall out to this clinical complexity @PPM2
Project PI @PPM11 was recently helped by @PPM12 to trace a very interesting serial serum albumin of a patient receiving iv albumin in our wards that we shared in the collective group in our afternoon session. @CR would you recall which patient was this?
[21-05-2025 08:52] PPM 1: Here's a structured point-by-point feedback to refine the patient management priorities and ensure alignment with evidence-based practices:
---
### *1. Differential Diagnosis: Acute on Chronic LVF*
- *Strength*: Rapidly identifying acute decompensation linked to a GI infection (e.g., volume shifts, systemic inflammation) is logical.
- *Suggestions*:
- Confirm *mechanistic evidence* (e.g., labs like BNP, echocardiography for EF/strain) to link the GI infection to LVF.
- Rule out other precipitants (e.g., arrhythmias, electrolyte imbalances, ACE inhibitor use, or comorbid conditions like anemia).
- If chronic LVF is suspected, ensure prior documentation (e.g., prior echo EF <40%) justifies "acute on chronic."
---
### *2. Spironolactone and Chronic Liver Disease Label*
- *Strength*: Critical evaluation of medication appropriateness and diagnostic labels.
- *Suggestions*:
- *Review liver synthetic function* (albumin, INR, bilirubin, platelets) to validate chronic liver disease.
- If cirrhosis is unconfirmed, *discontinue spironolactone* unless clear fluid overload existse (.g., ascites, peripheral edema).
- Educate the team on *spironolactone contraindications* (hyperkalemia, renal impairment) and alternative diuretics if indicated
.---
### *3. Post-Infectious Bowel Dysmotility*
- *Strength*: Tailored to the GI history; avoids broad diagnoses.
- *Suggestions*:
- *Confirm timeline* (e.g., diarrhea persisting >4 weeks post-infection) and rule out *secondary causes* (e.g., C. diff, malabsorption, IBD).
- Consider *motility studies* (e.g., hydrogen breath test, colonic transit study) if refractory symptoms.
- Highlight *patient education* on dietary fibers (e.g., psyllium) and hydration to manage symptoms.
---
### *4. IV Albumin Controversy*
- *Strength*: Advocating against overuse aligns with cost-effectiveness and evidence.
- *Suggestions*:
- *Cite guidelines*: Per albumin use in hypoalbuminemia (e.g., Cochrane reviews) — no mortality benefits except in specific cases (e.g., cirrhosis with sepsis).
- Promote *oral nutritional support* (e.g., protein-rich diet, dietician referral) or treat underlying causes (e.g., malnutrition, protein-losing enteropathy).
- Share the *project’s serial albumin data* to illustrate futility (e.g., rapid excretion, lack of clinical improvement).
---
### *Additional Recommendations*
- *Re-evaluate hypoalbuminemia etiology*:
- Rule out *nephrotic syndrome* (urine protein/creatinine ratio), *protein-losing enteropathy* (stool alpha-1 antitrypsin), or *malnutrition* (dietary history).
- *Audit practice patterns: Use this case to highlight **over-testing* (e.g., unnecessary CT scans) and *overtreatment* (albumin infusions) in similar patients.
- *Follow-Up on the Patient Case*: Identify the patient with serial albumin data to reinforce the message. Example:
- “In [Patient X], IV albumin raised levels transiently (Day 1: 2.5 → 3.8 g/dL), but dropped to 2.7 g/dL by Day 3 without clinical benefit. This aligns with the project’s findings.”
---
### *Overall Commentary*
The team’s critical approach to minimizing unnecessary interventions is commendable. Ensuring alignment with evidence (e.g., avoiding albumin overuse) and rigorously validating diagnostics (liver disease, LVF) will improve patient outcomes. The project on hypoalbuminemia could serve as an educational tool for systemic change.
Let me know if further refinement is needed!
[21-05-2025 08:57] PPM 2: PajR/blog link?
[21-05-2025 09:25] PPM 1: Always posted by @CR in the PaJR description box
[21-05-2025 09:25] PPM 1: Great! Is this Kimi AI again?
[21-05-2025 09:26] PPM 1: Or did you mean the hypoalbuminemia ProJR blog link?
[21-05-2025 09:41] PPM 3: 👍
[21-05-2025 10:12] PPM 2: Also helps please.
[21-05-2025 12:32] PPM 1: @PPM8 has prepared this discharge for her today @CR 👇
Age/Gender: 62 Years/Female
Address:
Discharge Type: Relieved
Admission Date: 19/05/2025 09:52 PM
Diagnosis
ACUTE GASTROENTIRITIS WITH ACUTE KIDNEY INJURY (PRE RENAL) PULMONARY EDEMA SECONDARYT TO HEART FAILURE ( RESOLVED) HYPERKALEMIA SECONDARY TO? SPIRONOLACTONE
K/C/O CHRONIC LIVER DISEASE SECONDARY TO ? NON ALCOHOLIC FATTY LIVER DISEASE,
? POST BILIARY STRICTURE P/H/O OESOPHAGEAL VARICES
K/C/O TYPE II DIABETES MELLITUS K/C/O HYPERTENSION
Case History and Clinical Findings
C/O VOMITINGS SINCE 1 DAY
C/O LOOSE STOOLS SINCE 1 DAY HOPI:
PATIENT WAS APPARENTLY ASYMPTOMATIC 1DAY AGO THEN SHE DEVELOPED VOMITINGS, INSIDIOUS ONSET, 4 EPISODES SINCE TODAY MORNING, WITH FOOD AS CONTENTS NON BILIOUS , NON PROJECTILE , NON BLOOD TINGED ASSOCIATED WITH NAUSEA, NOT ASSOCIATED WITH ABDOMINAL PAIN, FEVER
C/O INCREASED FREQUENCY OF STOOLS,4 EPISODES SINCE TODAY MORNING, 2 LOOSE STOOLS - WATERY IN CONSISTENCY, 2 STOOLS - NORMAL IN CONSISTENCY, NON BLOOD TINGED, NON FOUL SMELLING, NO H/O FEVER
C/O DIFFUSED ABDOMINAL PAIN SINCE 1 DAY, OF SQUEEZING TYPE, NONRADIATING. H/O ORTHOPNEA.
PAST HISTORY:
K/C/O TYPE 2 DM ON REGULAR MEDICATION (TAB. GLIMI-M PO/OD, TAB. METFORMIN 500MG PO/OD)
K/C/O HYPERTENSION SINCE 1 YEAR ON REGULAR MEDICATION (TAB. TELMA 20MG PO/OD) K/C/O CHRONIC LIVER DISEASE
K/C/O HYPOTHYROIDISM SINCE 40 YEARS ON REGULAR MEDICATION (TAB. THYRONORM 100MCG PO/OD)
SURGICAL HISTORY: CHOLECYSTECTOMY 3 YEARS AGO PERSONAL HISTORY:
CONSUMES MIXED DIET, APPETITE NORMAL, REGULAR BOWEL MOVEMENTS, MICTURITION NORMALNO KNOWN ALERGIES AND ADDICTIONS
FAMILY HISTORY: NOT SIGNIFICANT
GENREAL EXAMINATION: PALLOR AND CLUBBING- PRESENT NO ICTERUS, CYANOSIS, LYMPHADENOPATHY, MALNUTRITION
VITALS:- TEMP: AFEBRILE, BP: 120/70 MMHG, RR: 19CPM, PR: 70BPM, SPO2: 98% AT RA, GRBS 70 MG%
SYSTEMIC EXAMINATION: CVS- S1 S2 HEARD, NO MURMURS RS- BILATERAL AIR ENTRY PRESENT,
P/A - SOFT, DIFFUSE TENDERNESS, NO PALPABLE ORGANOMEGALY
CNS- HIGHER MENTAL FUNCTIONS INTACT, NO FOCAL NEUROLOGICAL DEFICIT TONE- RIGHT LEFT
UL NORMAL NORMAL LL NORMAL NORMAL POWER- RIGHT LEFT UL 5/5 5/5
LL 5/5 5/5
REFLEXES: BICEPS +2 +2
TRICEPS +2 +2
SUPINATOR +1 +1
KNEE +2 +1
ANKLE +1 +1
PLANTAR FLEXOR FLEXOR
Investigation
Anti HCV Antibodies- RAPID: Non Reactive, HBsAg-RAPID: Negative, HIV 1/2 Rapid Test: Non Reactive
COMPLETE URINE EXAMINATION: COLOUR Pale yellow, APPEARANCE Clear, REACTION Acidic, SP.GRAVITY 1.010, ALBUMIN +, SUGAR Nil, BILE SALTS Nil, BILE PIGMENTS Nil, PUS CELLS 2-3, EPITHELIAL CELLS 2-3, RED BLOOD CELLS Nil, CRYSTALS Nil, CASTS Nil, AMORPHOUS DEPOSITS Absent
HEMOGRAM ON 20/05/25: HAEMOGLOBIN 9.0 gm/dl, TOTAL COUNT 4,400 cells/cumm , NEUTROPHILS 74 %, LYMPHOCYTES 15 %, EOSINOPHILS 01 % , MONOCYTES 10 %, BASOPHILS 00 %, PCV 25.7 vol %, M C V 89.4 fl , M C H 31.3 pg , M C H C 35.0 %, RDW-CV
21.3 %, RDW-SD 69.8 fl , RBC COUNT 2.8 millions/cumm , PLATELET COUNT 1.3 lakhs/cu.mm SMEAR: RBC Normocytic normochromic anemia, WBC Within normal limits, PLATELETS inadeqaute , HEMOPARASITES No hemoparasites seen, IMPRESSION Normocytic normochromic anemia with mild thrombocytopenia
HEMOGRAM ON 21/05/25: HAEMOGLOBIN 9.5 gm/dl, TOTAL COUNT 5,500 cells/cumm , NEUTROPHILS 66 %, LYMPHOCYTES 22 %, EOSINOPHILS 02 %, MONOCYTES 10 %, BASOPHILS 00 %, PCV 28.4 vol %, M C V 92.9 fl , M C H 31.1 pg , M C H C 33.5 %, RDW-CV 20.3
%, RDW-SD 65.2 fl , RBC COUNT 3.0 millions/cumm , PLATELET COUNT 1.38 lakhs/cu.mm SMEAR: RBC Normocytic normochromic, WBC With in normal limits, PLATELETS inadeqaute, HEMOPARASITES No hemoparasites seen, IMPRESSION Normocytic normochromic anemia with mild thrombocytopenia
RFT: CREATININE 2.8mg/dl
LIPID PROFILE: Total Cholesterol 112 mg/dl, Triglycerides 42 mg/dl, HDL Cholesterol 18.9 mg/dl, LDL Cholesterol 68.3 mg/dl, VLDL * 8.4 mg/dl
THYROID PROFILE: T3 0.86 ng/ml, T4 11.88 micro g/dl, TSH 5.42
Prothrombin Time 16, INR 1.11, APTT TEST 31
ABG: PH 7.271, PCO2 31.7 mmHg, PO2 83.5 mmHg, HCO3 14.1 mmol/L, St.HCO3 15.4 mmol/L,
BEB -11.4 mmol/L, BEecf -11.4 mmol/L, TCO2 30.6 VOL, O2 Sat 95.7 %, O2 Count 11.8 vol % BLEEDING TIME 2 Min 00 sec, CLOTING TIME 4 Min 00 sec
SERUM ELECTROLYTE: ON 20/05/25: SODIUM 132 mmol/L, POTASSIUM 6.0 mmol/L, CHLORIDE 101 mmol/L, CALCIUM IONIZED 1.23 mmol/L
ON 21/05/25: SODIUM 132 mmol/L, POTASSIUM 5.1 mmol/L, CHLORIDE 98 mmol/L, CALCIUM IONIZED 1.23 mmol/L
USG ABDOMEN: ALTERED ECHO TEXTURE OF THE LIVER AND BORDERLINE SPLEENOMEGALYINJ. LA
Treatment Given (Enter only Generic Name)
1. INJ. LASIX 20MG IV/BD 1- X- 1
2. INJ. PAN 40MG IV/OD 7AM BEFORE BREAKFAST
3. INJ. ZOFER 4MG IV/OD
4. TAB TELMA 20MG PO/OD 9AM
5. TAB. THYRONORM 100MCG PO/OD 7AM/ 30MINS BEFORE BREAKFAST
6. TAB. CARVEDILOL 3.25MG PO/OD 8AM
7. K BIND SACHET IN 1 GLASS OF WATER PO/BD
8. NEB. WITH BUDECORT AND IPRAVENT GIVEN 12TH HOURLY AND LEVOSALBUTAMOL GIVEN 6TH HOURLY
9. FLUID RESTRICTION <1.5 LITERS/DAY
Advice at Discharge
1. TAB. LASIX 20MG IV/BD 1- X- 1
2. TAB TELMA 20MG PO/OD 9AM
3. TAB. THYRONORM 100MCG PO/OD 7AM/ 30MINS BEFORE BREAKFAST
4. TAB. CARVEDILOL 3.25MG PO/OD 8AM
6. FLUID RESTRICTION <1.5 LITERS/DAY
Follow Up
REVIEW TO GENERAL MEDICINE OPD AFTER 1 WEEK OR SOS
When to Obtain Urgent Care
IN CASE OF ANY EMERGENCY IMMEDIATELY CONTACT YOUR CONSULTANT DOCTOR OR ATTEND EMERGENCY DEPARTMENT.
Preventive Care
AVOID SELF MEDICATION WITHOUT DOCTORS ADVICE, DONOT MISS MEDICATIONS. In case of Emergency or to speak to your treating FACULTY or For Appointments, Please Contact: For Treatment Enquiries Patient/Attendent Declaration: - The medicines prescribed and the advice regarding preventive aspects of care, when and how to obtain urgent care have been explained to me in my own language
SIGNATURE OF PATIENT /ATTENDER SIGNATURE OF PG/INTERNEE SIGNATURE OF ADMINISTRATOR SIGNATURE OF FACULTY
Discharge Date Date: 21/05/25 Ward: AMC
Unit: 1
[21-05-2025 21.01] PA: Respected PPM1 sir and team of KIMS
I wanted to express my heartfelt gratitude for the prompt and compassionate care provided to my mother and immediately responded. Thank you for your professionalism and commitment to delivering exceptional patient care.
Thank you sir.
[22-05-2025 07.00] PPM 1: 🙏
[22-05-2025 07.25] PA: Good morning sir,along with the above tablets shall I give Metformin Hydrochloride sustained tablet after breakfast sir?
[22-05-2025 07:30] PPM 1: Yes we'll need to monitor her sugars for a few days again here to adjust the dose. Please continue her metformin after meals as before and let's see if we need to adjust the dose upon monitoring her sugars
[22-05-2025 08:29] PA: Okay sir, thank you
[22-05-2025 09:11] PA: Most of the time yesterday discharged onwards and till now she is in a sleepy mood only and also body shaking sir.
[22-05-2025 11.49] PA: SpO2 80, PR 92
[22-05-2025 13.39] PA: 2 hrs after breakfast sugar level is 167mg/dl
[22-05-2025 14:33] PPM 1: 👍Is she taking the metformin today?
[22-05-2025 15:36] PA: Yes sir taken
[22-05-2025 20.49] PA: SpO2 79, PR 94
[22-05-2025 21:47] PPM 1: SpO2 is showing low! It should be 92!
[22-05-2025 21:47] PA: Yes sir, that's why I am posting to give update
[22-05-2025 21:57] PPM 1: Please let us know her respiratory rate hourly
[22-05-2025 21:57] PA: Okay sir
[22-05-2025 22:13] PA: At present respiratory Rate 20 sir
PPM 1: 👍
[23-05-2025 16.40] PA: BP 104/46, PR 84
[23-05-2025 16:54] PPM 1: SpO2 and respiratory rate?
[23-05-2025 16:55] PA: Now 20 sir
[23-05-2025 17:01] PA: The meter is unable to measure her Respiratory rate sir , for us it's its working
[23-05-2025 17.13] PPM 1: You mean SpO2
[23-05-2025 17:47] +91 76010 22405: Yes sir
[24-05-2025 09.28] PA: BP 110/51, PR 75
[24-05-2025 21:30] PA: Sir shall I give Metformin Hydrochloride 500 mg 3 times after breakfast, lunch and dinner
[25-05-2025 07:11] PPM 1: Yes. Can also give half tablet to begin with in case she doesn't tolerate the full tablets well
[25-05-2025 07.42] PA: Fasting sugar 112mg/dl, Breakfast millet idly and coconut chutney
[25-05-2025 07:52] PA: Okay sir, thank you
[25-05-2025 08:58] PPM 1: 👍
[25-05-2025 09.55] PA: 105/42, PR 64
[25-05-2025 11.13] PA: 189mg/dl
PPM 1: 👍
[26-05-2025 11.30] PA: 346mg/dl
[27-05-2025 07:33] PPM 1: 2 hours after dinner? What did she have for dinner?
[27-05-2025 10:22] PA: Not sir, it's 2 hours after breakfast yeasterday
[27-05-2025 10:23] PA: For dinner rice with roasted chilli powder sir
[27-05-2025 10:26] PPM 1: Quite high!
No other sugars done after that? Please let us know her blood sugars today
[27-05-2025 10:27] PA: Ok sir
[27-05-2025 11.41] PA: 226mg/dl post breakfast.
[27-05-2025 12:43] PPM 1: Two hours after breakfast?
Taken metformin 500 mg after breakfast?
[27-05-2025 12:44]PA: Taken an hour before sir
[27-05-2025 12:45] PPM 1: Metformin can be taken after meals
Always share an image of her meals so that it's easier for us to figure out her calorie intake.
She took her breakfast at 9:30AM?
[27-05-2025 12:46] PA: 9 sir
[27-05-2025 12:46] PA: This was done at 11:00AM?
[27-05-2025 12:47] PA: Yes sir, forgot to post, and posted lately
[05-06-2025 09.36] PA: 79mg/dl
[05-06-2025 09:37] PA: Before breakfast
[05-06-2025 09.37] PA: After breakfast 151mg/dl
[05-06-2025 10:37] PPM 1: On any tablets? Taken metformin after meals?
[05-06-2025 10:41] PA: We are only giving a metformin tablet after breakfast, lunch and dinner sir
[05-06-2025 10:41] PA: Yes sir
[06-06-2025 06.25] PA: Before breakfast blood sugar of the patient is 82mg/dl
[06-06-2025 08.14] PPM 1: 👍
[06-06-2025 08.30] PA: Breakfast dosa and Metformin glycomet 500 SR 1 tab after 40 min gap.
[06-06-2025 09.23] PA: 151mg/dl
[07-06-2025 06:40] PPM 1: 👍
[07-06-2025 10.05] PA: Legs are swelling from last 7 days sir
[07-06-2025 10:11] PPM 1: What is the current dose of lasix she's taking?
[07-06-2025 10:20] PPM 1: 👆How many tablets of these is she taking?
[07-06-2025 10:21] PA: Daily morning and evening one tablet sir
[07-06-2025 10:24] PPM 1: Evening what time?
[07-06-2025 10:26] PPM 1: 👆Ask her to take two tablets of this lasix 40 mg at 8:00AM and one tablet at 1:00 PM
[07-06-2025 10:54] PA: 6 or 7 clock sir
[07-06-2025 10:55] PA: 👍 okay sir
[09-06-2025 13:00] PA: Good morning sir, my mother is not conscious, not taking any food and snoring . When we are giving water and tablets not swallowing sir. Please suggest anything sir
[09-06-2025 13:31] PPM 1: Since morning? Please bring her here immediately if it looks like an emergency or at least get her evaluated by a local doctor. Her blood sugars need to be checked immediately
[09-06-2025 13:32] PA: Okay sir,Thank you.
[09-06-2025 14.07] PA: Blood sugar 111mg/dl, BP 113/47, P73. After 3 min BP is 108/45, PR 70
[09-06-2025 16:44] PPM 1: How is she now?
[09-06-2025 17:41] PA: Sir now my mother is not in Nalgonda She is in the village We reached the Village at 5.00 Pm.I gave sweetless Jackfruit 2 pieces,3 green grapes,3 block grapes and 50 Grams water melon pieces those fruits she has eaten.Now she is some what better compare to morning Tommorow we will bring her to Hospital sir.
[09-06-2025 19.40] PPM 1: Thanks for sharing. Good to hear that she's feeling better
[11-06-2025 08:41] PA: Good morning sir, today we are bringing my mother to hospital as she feels Asthma and mild stomach pain
[11-06-2025 08:43] PPM 1: I'll be in OPD
[11-06-2025 08:43] PA: Okay sir, thank you
[11-06-2025 13:38] PA: Good afternoon sir, Now
we are at 78 Number OPD, whom should we contact sir
[11-06-2025 14:35] PPM 3: @PPM1 sir patient has come to OPD with attenders
They want to get admitted only after meeting you sir
Meanwhile I am sending routine lab investigations sir
[11-06-2025 14:58] PPM 1: Send her to ICU. I'm here
[11-06-2025 14:58] PPM 3: Okay sir
[11-06-2025 17.11] PPM 1: Reviewed her
[11-06-2025 17.13] PPM 1: Reviewed her clinically:
Very enlarged liver
Possible jaundice (in artificial light)
Looks like she may have had a chronic congestive hepatitis along with chronic liver failure secondary to her heart failure as well as directly because of MAFLD with her recent instance of altered sensorium at home being due to hepatic encephalopathy
[12-06-2025 15.15] PPM 1: Today's update
[12-06-2025 15:16] PPM 1: We have 2 Gastroenterologists in this team now! @PPM5 @PPM4
[12-06-2025 15:17] PPM 1: S: Currently just a little backache since yesterday
O: respiratory rate 24/minute
[17-06-2025 06:13] PA: Good morning sir, the patient is passing very little urine like 5ml. Motion is normal. Stomach is very tight sir. Please suggest us
[17-06-2025 08:06] PPM 1: Please share the pictures of the current medicines she's taking
[17-06-2025 09:50] PA: The patient is using the above tablets
[17-06-2025 14:34] PPM 1: Stop cholestyramine and Dytor
Start her on tablet lasix 40 mg at 8:00AM and 20mg at 12:00
And share how many liters of water she's taking and how many litres of water she's urinating in 24 hours using a measuring jar like this one 👇
[17-06-2025 14:41] PA: Okay sir, I am not with her. I will reach by evening. Till that I will tell my family members
Thank you
[17-06-2025 19.23] PA: The patient is passing urine normally but still she has bulging stomach.
[17-06-2025 19:36] PPM 1: If it's because of ascitic water in the abdomen, we can drain it by putting an iv set.
However as mentioned above please measure and share whatever amount of fluid she's taking and whatever urine is coming out hourly every 24 hours.
[17-06-2025 19.45] PA: BP 142/68, PR 87. BP 142/70, PR 89.
[17-06-2025 19:45] PA: Okay sir, thank you.
[18-06-2025 18:55] PA: Good evening sir we are using diapers to the patient as she is unable to sit and tell me when she has the urge to pass urine, that's why unable to measure urine. Now urine and stool excretion is normal. But little amount of tears are coming from eyes and persistently itching on them.
[18-06-2025 19.18] PA: BP 126/54, PR 89
[18-06-2025 19:38] PPM 4: Can aldactone be increased? @PPM1 Sir. Also, was SBP ruled out in the previous tap?
The cause of DCLD is not clear yet but I agree MASLD may itself be the primary cause.
[19-06-2025 19:40] PPM 1: I just checked the case report in the descriptive box to see why she's not on aldactone and it appears that on 20/05/25 her POTASSIUM was 6.0 mmol/ and that could be one reason and the fact that it's difficult to repeat these tests in a home care setting.
I couldn't find the serum creatinine from her last admission in the case report EMR summary. @PPM6 @PPM7 which unit was she admitted last time?
[19-06-2025 19:58] PPM 4: Agreed. We can't give aldactone at a potassium of 6.
PPM 1: 👍
[20-06-2025 06:34] PPM 7: Sir unit 3
[20-06-2025 06:41] PPM 1: @PPM6 is unit 3?
[20-06-2025 06:50] PPM 7: No sir
[20-06-2025 06:50] PPM 7: I am in unit 3
[20-06-2025 06:51] PPM 1: Do you recall the patient's creatinine during her last admission because it's not mentioned in the discharge summary
[20-06-2025 07:18] PPM 7: Yes sir it's around 2.8
[20-06-2025 07:52] PPM 1: @CR let's add that to the EMR summary in the case report and in the diagnosis
[20-06-2025 10:42] PPM 4: Does she have CKD?
[20-06-2025 10:43] PPM 4: Is there a possibility that she might benefit from biweekly albumin infusions?
[20-06-2025 17:03] PPM 1: Apparently yes. Looks like chronic multi organ failure due to metabolic syn
[20-06-2025 17:03] PPM 1: Are there RCTs to suggest their effectiveness?
[20-06-2025 18:07] PPM 4: It's still open for debate, good quality but contradictory evidence from ANSWER and MACHT trials
[20-06-2025 18:08] PPM 4: The ANSWER trial (Caraceni 2018) may be extrapolated to our scenario
[20-06-2025 18:11] PPM 4: This is a high quality narrative review authored by domain experts, published very recently in Hepatology (the AASLD journal).
[20-06-2025 19:11] PPM 1: Open label
[20-06-2025 19:13] PPM 4: Yes but that's the best available evidence till now.
[20-06-2025 19:18] PPM 4: This came from the same group last year. This is a real world evidence study and not RCT
[20-06-2025 19:21] PPM 4: This is an ongoing phase 3 study from Paolo Angeli's group which may shed some more light. Again this is open label. I guess albumin trials are more likely to be open label.
[20-06-2025 19:30] PPM 1: Going by the pharmacokinetics and pharmacodynamics of human albumin is it real world feasible for it to have sustained benefit? What is the duration of stay for the infused albumin as opposed to the expected half life of 21 days? We followed up a few patients of hypoalbuminemia here with their daily serum albumin once their albumin infusion was started and found it rising for two days and then again falling after that. @PPM8 can you share that case report where you had been instrumental in the data collection?
Continuing to take biweekly iv albumin appears to be a very expensive affair?
[20-06-2025 19:46] PPM 8: Yes sir, in that patient the transfused albumin didn't last more than 2 days and it cost around 7000₹+ for each albumin pint
[20-06-2025 19:49] PPM 8: These seem to be the only details available from that day sir😬
[20-06-2025 19:50] PPM 8: There was another patient with similar condition where transfusing albumin didn't last long enough.
[20-06-2025 19:51] PPM 1: Thanks. Let me see if I can fish out his case report. @Sailaja do you recall this patient who also had membranous nephropathy?
[20-06-2025 20:02] PPM 1: @CR can we add these to our Hypoalbuminemia ProJR here 👇
[20-06-2025 20:03] CR: Will do
[20-06-2025 20:51] PPM 4: The albumin in cirrhotics is not only quantitatively low, it is also qualitatively dysfunctional.
[20-06-2025 20:55] PPM 1: Yes our contention is about the apparently low quantitative values achieved after infusion. Previously we didn't even believe that serum albumin rise post albumin infusions were even correlate-able but after these patients we feel it needs to be observed in a larger number
[20-06-2025 20:57] PPM 4: Yes sir, the expenses are an issue, specially in India and there is still no guideline to recommend routine albumin administration in decompensated cirrhotics
[20-06-2025 20:59] PPM 4: This was the closest to a consensus statement on albumin in Hepatology published a couple of years back. Can we get LLM to summarise the key pointers?
[20-06-2025 21:11] PPM 1: 👆@PPM9
[20-06-2025 22:04] PPM 9: Based on the comprehensive review of the 2023 international position statement and related evidence, here are the key clinical recommendations and insights regarding albumin use in cirrhosis:
---
### 🔑 *1. Strong Recommendations for Short-Term Albumin Infusion*
- *Hepatorenal syndrome (HRS):* Albumin + vasoconstrictors (e.g., terlipressin) is critical for improving renal function and survival.
- *Large-volume paracentesis (LVP):* Administer 6–8 g albumin per liter of ascites removed to prevent post-paracentesis circulatory dysfunction (PPCD) and renal injury.
- *Spontaneous bacterial peritonitis (SBP):* Use 1.5 g/kg on day 1 and 1 g/kg on day 3 alongside antibiotics to reduce HRS risk and mortality by 50%.
---
## ⚠ *2. Conditional or Context-Dependent Use*
- *Long-term administration* may be considered in decompensated cirrhosis with recurrent ascites (e.g., 40 g albumin biweekly), but only where "budget and logistical issues can be resolved" (based on mixed trial data: ANSWER trial benefits vs. ATTIRE trial null effects).
- *Non-SBP infections (e.g., pneumonia, UTI):* Routine albumin is *not recommended* due to lack of mortality benefit and increased pulmonary edema risk (Fernandez 2020 RCT) .
- *Hepatic encephalopathy (HE) or hyponatremia:* Evidence remains insufficient for routine use.
---
### ⚗ *3. Mechanisms of Action Beyond Volume Expansion*
Albumin's benefits derive from both:
- *Oncotic effects:* Plasma volume expansion counteracts arterial underfilling.
- *Non-oncotic properties:*
- Antioxidant and immunomodulatory effects (binds endotoxins, reduces inflammation).
- Endothelial stabilization and toxin scavenging (e.g., bilirubin, cytokines).
In decompensated cirrhosis, endogenous albumin is dysfunctional, making exogenous infusion critical for restoring homeostasis.
---
### 🚩 *4. Safety Considerations*
- *Pulmonary edema* is the most significant adverse effect, especially in patients with borderline cardiac function or when co-administered with terlipressin.
- *Fluid status assessment* (e.g., point-of-care ultrasound for lung B-lines, inferior vena cava collapsibility) is essential before infusion to avoid volume overload .
- *Avoid in hemodynamically stable patients* without specific indications (e.g., hypoalbuminemia alone is not an indication) .
---
### ❓ *5. Unresolved Controversies & Research Gaps*
- *Dosing and duration:* Optimal regimens for HRS and long-term use remain undefined (e.g., weight-based vs. fixed dosing).
- *Patient selection:* Biomarkers to identify albumin responders are lacking.
- *Timing in AKI:* Recent studies challenge guidelines restricting albumin to 24 hours, with responses observed between 24–48 hours .
- *Hepatic encephalopathy/hyponatremia:* Efficacy not yet validated in robust trials.
---
### 📊 *Key Practice Implications*
| *Scenario* | *Recommendation* | *Evidence Certainty* |
|----------------------------|-------------------------------------------------|------------------------|
| HRS | Albumin + vasoconstrictors | High ✅ |
| LVP (≥5L ascites) | 6–8 g/L albumin | High ✅ |
| SBP | 1.5 g/kg Day 1 + 1 g/kg Day 3 | High ✅ |
| Non-SBP infections | Not recommended | Moderate 🚫 |
| Long-term ascites | Conditional (40 g biweekly) | Low ⚠ |
---
### 💡 *Conclusion*
The 2023 position statement consolidates albumin as a cornerstone therapy for HRS, LVP, and SBP but urges caution in non-evidence-based settings. Future studies should refine dosing, expand indications for hepatic encephalopathy/hyponatremia, and validate biomarkers for personalized use. Integrating fluid status assessment via ultrasound may mitigate safety risks .
> ✨ *Key Takeaway:* Albumin is a *disease-modifying agent* in cirrhosis complications but requires precision in patient selection, dosing, and monitoring to avoid harm.
[30-07-2025 05.04] PA: Good morning sir, first of all sorry I am unable to post the health status of my mother because she is at my brother's home.
[30-07-2025 05:07] PA: Now she is facing the problem of stomach pain & stopped urine & stool passout. Can you help us with any medication or suggestion in this regard?
[30-07-2025 08:49] PPM 1: Is this a picture of the patient's abdomen?
She appears to be having bleeding in the skin and given her previous diagnosis, it's likely to be due to her liver failure
How's her sensorium currently?
[30-07-2025 09:52] PA: Yes sir it's on the abdomen only
[30-07-2025 09:57] PA: Since last month she is sometimes like 2-3 days not conscious. When we are continuously monitoring her and giving fruits as a diet then she is recovering like this we saw her nearly 10 times in a month
[30-07-2025 10:15] PPM 1: Please share her status here hourly so that we can help better
[30-07-2025 10:17] PA: Okay sir
[30-07-2025 12:38] PPM 10: Sounds like overt HE. Would be better if atleast blood sugar, Na/K, U/Cr and ammonia can be checked once. She may go into HRS-AKI (maybe it's already started as urine output has stopped).
[30-07-2025 13:06] PPM 1: Yes and it's perhaps not the first time but it's recurrent
[30-07-2025 13:09] PPM 10: Agreed sir. She meets all the LT listing criteria. Her age is not a contraindication but the heart failure might be. The caregivers can be counselled to get an opinion from an LT center.
[02-08-2025 18:18] PA: My mother passed away 😢 on 30-07-2025 at 10.30 pm sir. She is no More..😭
[02-08-2025 18:19] PA: Thank you for your cooperation during the medical emergency. 🙏
[02-08-2025 18:34] PPM 4: Very sorry to hear that. May the Lord be with you.
No comments:
Post a Comment