January 10, 2024
THIS IS AN ONLINE E LOG BOOK TO DISCUSS OUR PATIENT'S DE-IDENTIFIED HEALTH DATA SHARED AFTER TAKING HIS SIGNED INFORMED CONSENT. HERE WE DISCUSS OUR PATIENT'S PROBLEMS THROUGH SERIES OF INPUTS FROM AVAILABLE GLOBAL ONLINE COMMUNITY EXPERTS WITH AN AIM TO SOLVE THOSE PATIENT'S CLINICAL PROBLEMS WITH COLLECTIVE CURRENT BEST EVIDENCE BASED INPUTS.
The intern has been given this case to solve in an attempt to understand the topic of "patient clinical data analysis" to develop her competency in reading and comprehending clinical data including history, clinical findings, investigations and come up with diagnosis and treatment plan.
70 YR OLD MALE C/O URINARY RETENTION, URINARY HESITATION, URINARY URGENCY SINCE 1 MONTH
C/O B/L KNEE PAIN SINCE 2013
C/O LEFT EAR HEARING LOSS SINCE 2008
BOTH EYES BLURRING OF VISION SINCE 1 YEAR
HISTORY OF PRESENTING ILLNESS
PATIENCE WAS APPARENTLY ASYMPTOMATIC 1MONTH AGO AND THEN HE DEVELOPED URINARY RETENTION SINCE ONE MONTH, UNABLE TO URINATR AND SEVERE DISCOMFORT WITH BLADDER FULLNESS AND ASSOCIATED WITH URINARY HESITATION SINCE ONE MONTH AS PATIENT IS UNABLE TO URINATE WITH DIFFICULTY IN STARTING AND MAINTAINING URINARY STREAM ASSOCIATED WITH URGENT URINATION (URINARY URGENCY) SINCE ONE MONTH WITH SUDDEN NEED TI URINATE WITH DISCOMFORT IN BLADDER ASSOCIATED WITH NOCTURIA WITH 3 TO 4 TIMES AT NIGHT ONLY SINCE ONE MONTH
B/L KNEE PAIN SINCE 2013, INSIDIOUS ONSET PROGRESSIVELY INCREASING AND AGGREVATING ON WALKING, CLIMBING STAIRS ASSOCIATED WITH HEARING LOSS LEFT SIDE SINCE 2008 AND BLURRING OF VISION SINCE 1 YR OF BOTH EYES
H/0 SIMILAR COMPLAINTS OF URINARY RETENTION 40 YRS BACK(1972)
K/C/O DM II SINCE 4 YRS AND ON TAB GLIMEPERIDE 1MG +TAB METFORMIN 1000MG PO OD
H/0 OBSESSIVE COMPULSIVE DISORDER AND ON MEDICATION TAB CLOMIPRAMINE hcl
H/0 DEPRESSION AND ON TAB OLANZAPINE 5MG+ FLUOXETINE 20 MG, AND TAB CLOMIPRAMINE HCL.
DAILY ROUTINE BEFORE 2008
B/W 6AM TO 6 30 AM : WAKES UP, MAKES TEA, TOILET
6 30AM TO 8 AM : EXERCISE, REST, FRESHUP
8 AM TO 10 AM: BREAKFAST, DAILY CHORES, BUYS GROCERIES
10AM: SHORT MEAL
10am to 11am: travel to school
11 am to 4pm goes to school as he was a school teacher
4pm to 5pm: travel back home
5pm to 5 30pm: lunch
5 30 t0 7 pm: plays volley ball, football, gardening
7 pm to 9pm: reads books and journals
9 pm to 10 pm: dinner
10 pm to 10 45 pm: reads books
11 00pm: sleep off
Daily routine from 2008 to 2013
9am: wakes up
10 am: breakfast
10 40 am to 4 pm: goes to school
4pm to 5pm: travel back home
5pm: lunch
5 30pm to 9 45 pm: sleeps
10 pm: dinner
10 30 pm: sleeps off
Daily routine from 2014 to 2018
7am: wakes up
8 am to 10 am: batch1 tuition
10am to 12 pm: batch 3 tuition
12 30 pm to 5pm: lunch, sleep, tv
5 pm to 8 pm: batch 3 tuition
8pm to 10 pm reading books, journal
10 pm to 11pm: dinner
11 pm: disturbed sleep
Daily routine from 2019
9am to 10 am wakeup, drinks tea, breakfast, reads news paper sleep
10am to 1 30 pm sleep
1 30pm to 2 pm lunch watch tv
2 30 pm to 5 pm sleep
5 30pm to 6 pm drinks tea, tv sleeps
6pm to 10 30pm sleep
10 30pm dinner watch tv while eating
11 pm sleep
BIOPSYCHOSOCIAL HISTORY
PT C/O BLASPHEMOUS THOUGHTS SINCE 4 YEARS
BACKGROUND HISTORY
PT WAS DIAGNOSED WITH PSYCHIATRIC ILLNESS IN 2009 USED MEDICATION FOR 4 YEARS AND STOPPED AS PER DOCTORS ADVICE (REPORTS NOT AVAILABLE) BUT OCCASIONALLY REPETITIVE, INTRUSIVE THOUGHTS WERE STILL PRESENT WITH NO IMPAIRMENT IN PTS SOCIAL AND OCCUPATIONAL FUNCTION
HISTORY OF PRESENTING ILLNESS
PT WAS APPARENTLY ASYMPTOMATIC TILL 4 YEARS BACK WHEN ALL OF A SUDDEN HE LOST HIS WIFE (DUE TO? HYPOGLYCEMIA) IN 2019, FOLLOWING WHICH PT MENTIONED THAT HE STARTED FEELING LOW ALL THE TIME AND HAD LOST INTEREST IN DOING ANY ACTIVITIES AND SOMETIMES FELT THAT LIFE WAS NOT WORTHY LIVING AND COULD NOT FOCUS ON ANY WORK HE PUTS HIS MIND TO WHICH, ASSOCIATED WITH DISTURBED SLEEP AND DECREASED APPETITE AND PT INFORMS HE FELT LIKE HE HAD NO ENERGY TO DO ANYTHING AND HE SOMETIMES WOULD HEAR SOUNDS THAT NO ONE ELSE COULD HEAR
INFORMANT SAYS PT SMILES TO HIMSELF WITHOUT ANY REASON AT TIMES BUT ONLY WHEN ALONE
PT ALSO INFORMS THAT HE HAD REPETITIVE INTRUSIVE BLASPHEMOUS THOUGHTS WHICH WERE PREVIOUSLY PRESENT BUT AGGRAVATED SINCE THE DEATH OF HIS WIFE WHICH WERE OFTEN TRIGGERED BY EXTERNAL OBJECTS, SOMETIMES THOUGHTS WHICH LED TO HIM EXPERIENCING SIGNIFICANT BLACK MAGIC WAS DONE ON HIM AND THAT IS THE REASON FOR ALL HIS COMPLAINTS
FOR THESE COMPLAINTS PT WAS TAKEN TO PSYCHIATRIST AND IS ON REGULAR FOLLOW UP SINCE 2020. PT AND ATTENDER REPORTS SIGNIFICANT IMPROVEMENT IN SYMPTOMS AND ARE COMFORTABLE WITH THE TREATMENT
CURRENTLY PT REPORTS OCCASIONAL BLASPHEMOUS THOUGHTS BUT NO OTHER COMPLAINTS, ATTENDER REPORTS NEAR TOTAL IMPROVEMENT, SLEEP AND APPETITE NORMAL, SELF CARE AND HYGIENE MAINTAINED, OCCASIONAL ALCOHOL USE, ABSTINENCE FROM CHEWING TOBACCO, NO OTHER SIGNIFICANT PSYCHIATRY HISTORY
PAST HISTORY
1 EPISODE OF SIMILAR C/O IN 2008 FOR WHICH PT WAS ON MEDICATION FOR 4 TO 5 YRS
General examination
Pt is c/c/c
CVS EXAMINATION:
JVP NOT RAISED
INSPECTION:
SHAPE OF CHEST - ELLIPTICAL
NO VISIBLE PULSATIONS
NO ENGORGED VEINS AND SCARS
APICAL IMPULSE NOT VISIBLE
PALPATION:
APEX BEAT PRESENT OVER THE LEFT 5TH INTERCOSTAL SPACE 1CM MEDIAL TO MIDCLAVICULAR LINE
NO PARASTERNAL HEAVE
NO PRECORDIAL THRILL
NO DILATED VEINS
AUSCULTATION:
S1 S2 HEARD, NO MURMURS
RESPIRATORY EXAMINATION:
UPPER RESPIRATORY TRACT - NORMAL
LOWER RESPIRATORY TRACT-
INSPECTION:
CHEST BILATERALLY SYMMETRICAL,
SHAPE- ELLIPTICAL
TRACHEA- CENTRAL
PALPATION:
TRACHEA IS CENTRAL
NORMAL CHEST MOVEMENTS
VOCAL FREMITUS IS NORMAL IN ALL AREAS
PERCUSSION: IN SITTING POSTION
Rt. Lt
Supraclavicular. N(resonant). N
Infraclavicular. N N
Mammary region. N. N
Inframammary region. N. N
Axillary region. N. N
Infra axillary region . N N
Supra scapular region. N. N
Interscapular region. N N.
Infrascapular region. N. N
AUSCULTATION:
NORMAL VESICULAR BREATH SOUNDS
NO ADDED SOUNDS
VOCAL RESONANCE IS NORMAL IN ALL AREAS.
CNS EXAMINATION:
Higher motor functions - intact
Cranial nerves - intact
Motor system:
Rt- UL. LL. Lt- UL. LL
Bulk - N N. N. N
Tone - N. N. N. N
Power - 5/5. 5/5. 5/5. 5/5
Reflexes:
UL LL
Biceps. 2+ 2+
Triceps. 2+ 2+
Supinator. 2+ 2+
Knee 2+. 2+
Ankle. 2+ 2+
Sensory system: intact
Co ordination is present
Gait is normal
No Cerebellar signs
No signs of meningeal irritation
ABDOMINAL EXAMINATION:
Inspection:
Shape - distended
Umbilicus - inverted
All quadrants moves equally with respiration
No engorged veins, visible pulsations, scars, sinuses
Palpation:
All inspectory findings are confirmed
No local rise of temperature
Abdomen is soft and non tender
spleen and liver -not palpable
No other palpable masses
Hernial orifice are free
Auscultation:
Bowel sounds heard.
Urology referal done i/v/o urinary Frequency, urgency, incontinence and Nocturia since 2 weeks and advised for PSA
Urine for culture and sensitivity sent as advised by urologist
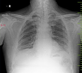
Chest Xray
ECG
Ortho referral done i/v/o bilateral knee pain on 10/01/2024
Xray knee taken as advised by orthopedic as patient was complaining of bilateral knee pain.
Psychiatry referral done i/v/o blasphemous thoughts. 2D Echo 👇
GRBS monitoring from day of admission
Pre anaesthesia check-up (PAC) on 13/01/2024
Review PAC on 16/01/2024
Electronic discharge summary
[01-07-2025 21:10] PPM 1: Update?
[02-07-2025 13:11] PPM 1: 👆@PPM3 can you use LLM help to transcribe and translate the handwritten note into editable text.
[02-07-2025 16.54] PPM 1: Google lens translate on the other hand did much better on the same task @PPM3 @PPM5
Here's the text pasted below from Google lens and a screenshot attached
Daily medicine and diet routine:-
Get out of bed between 7 and 8 am.
On an empty stomach, drink 1 glass of water and take 1 Glimepiride-2 mg. After 10 minutes, eat Dalia/oats/milet in moderation. After eating, eat Glycomet-500, 1 Floxine-70. Between 1 pm and 1:30 pm, eat 10070. Amount of rice and rice in moderation. After eating, take Glycomet 1 and D.D. pramin 25?ng 1. In the afternoon, eat tea biscuits/light Smax. Between 9 pm and 9:30 pm, eat 1 Gly mepiride 1 and Dalia/cats/milet 1 bowl and eat 2 Gly-comet, SEY D. D. pasirine, Fluxo-100, 1 chha Gly-comet 1. Once a day, at 11 am, eat guava fruit as a fruit.
Sugar after eating in this way
Level Fasting 70-110 and P.P. 170 to 210 fluctuates. Sleep comes more at night I potty normal Antacid is not needed.
Makkal around 11 am and around 5 pm I fluctuate 100 karsidi (edited: From 11:00 AM to 5PM I exercise by going up and down 100 steps).
The problem of gauro (edited: neuro) is not completely cured. But it is much better than before. Watching various shows on T.V. keeps the headache less and sometimes keeps me busy with cooking. Cooking is one of my hobbies)
[02-07-2025 16.56] PPM 1: @PPM4 you can make your team volunteers take a telephonic detail of his BPH symptoms among other issues. The basic idea and title of your paper is:
Managing BPH coexisting with clinical complexity using participatory medicine 2.0-3.0 tools
[12-08-2025 09:46] PPM 4: Okay sir
[12-08-2025 09:47] PPM 4: Sorry sir, I don’t get notifications from the group chats in the community. I will check the settings and see if this is modifiable. Sorry for late response..
[12-08-2025 10:27] PPM 1: All of us just perhaps see the @ symbol suggesting someone either replied to our comment or tagged us?
























































No comments:
Post a Comment