22-03-2025
THIS IS AN ONLINE E LOG BOOK TO DISCUSS OUR PATIENT'S DE-IDENTIFIED HEALTH DATA SHARED AFTER TAKING HIS SIGNED INFORMED CONSENT. HERE WE DISCUSS OUR PATIENT'S PROBLEMS THROUGH SERIES OF INPUTS FROM AVAILABLE GLOBAL ONLINE COMMUNITY EXPERTS WITH AN AIM TO SOLVE THOSE PATIENT'S CLINICAL PEOBLEMS WITH COLLECTIVE CURRENT BEST EVIDENCE BASED INPUTS.
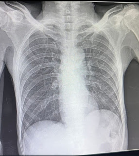
[22-03-2025 11.06] PPM 1: AMC ward right now: comatose since December 31st with current
diaphragmatic palsy, left more than right.
[22-03-2025 11.08] PPM 1: His chest X-ray that made us suspect left diaphragmatic palsy and then look
at his abdomen to find paradoxical respiration.
syn and while this chest X-ray looks very similar, clinically the patient's presentation resembles this
one 👇
https://pubmed.ncbi.nlm.nih.gov/15161128/
who we reported way back in 2004, Manipal before I met @~PPM4(ASK) in Bangalore the same year!
https://youtu.be/oeOJ6bb8Nb8?feature=shared


No comments:
Post a Comment